Aparte de la educación, la actividad cerebral, las hormonas, los neurotransmisores y otras sustancias biológicas e incluso los genes pueden condicionar la orientación ideológica
Mariano Rajoy, a la derecha, y Pedro Sánchez, a la izquierda, antes del debate televisivo del pasado lunes entre ambos candidatos a la presidencia del Gobierno. DANIEL OCHOA DE OLZA AP
El lugar de nacimiento, la clase social, la familia y el ambiente en que nos criamos, los maestros y los amigos que tenemos, las experiencias vividas, todo eso, es decir, todo lo que forma parte de la educación recibida, es lo que muchos ciudadanos pueden alegar con razón ante la pregunta de qué es lo que nos hace ser de derechas o de izquierdas. Una respuesta ésta que también serviría para responder a cuestiones más generales, como por qué somos buenos o malos, o a cuestiones más prosaicas, como por qué somos del Barça o del Madrid. Ciertamente, el cerebro humano es un órgano anatómica y fisiológicamente plástico y pocas cosas tienen más fuerza que la educación para cambiarlo y modularlo.
Si la educación no cambiase las neuronas, su influencia en nuestras vidas sería nula o residual. Particularmente en la infancia y la adolescencia, las experiencias que tenemos y las ideas que nos llegan pueden calar con tanta fuerza y profundidad en nuestros sistemas de representación cerebral como para persistir en ellos toda la vida pues son permanentemente reforzadas por las conductas e interacciones sociales a las que esas mismas representaciones nos incitan, especialmente cuando se expresan como sentimientos. Pero, ¿son todos los cerebros iguales a la hora de ser influidos y modelados por la educación? ¿En qué medida la biología y el cerebro que heredamos determinan la fuerza y posibilidades de la educación que recibimos para hacernos de derechas o de izquierdas?
El cerebro humano es un órgano anatómica y fisiológicamente plástico y pocas cosas tienen más fuerza que la educación para cambiarlo y modularlo
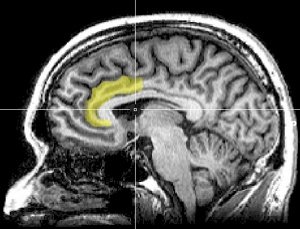
Para tratar de responder a estas preguntas nos vamos a referir a los estudios que abordan la misma problemática refiriéndose a la dicotomía liberales/conservadores, no coincidente con la de izquierda/derecha, pues de esta última no conocemos estudios científicos relacionados con el cerebro1. En 2007, un equipo de investigadores de las universidades de Nueva York y California realizó un trabajo experimental, publicado en la prestigiosa revista Nature Neuroscience, que mostró, mediante potenciales eléctricos evocados e imágenes de resonancia magnética funcional, que en situaciones de conflicto las personas políticamente liberales presentan más actividad que las políticamente conservadoras en la circunvolución cingulada anterior, una región del lóbulo temporal del cerebro caracterizada, entre otras funciones, por responder, cual alarma biológica, a situaciones en las que lo que razonamos no coincide con lo que sentimos.
De ese modo, los investigadores concluyeron que frente a las situaciones nuevas que requieren modificar los comportamientos habituales los liberales tienen más sensibilidad neurocognitiva que los conservadores. Asimismo, de esos datos dedujeron que la menor sensibilidad neurocognitiva de los conservadores en tales situaciones podría explicar su más estructurado y persistente comportamiento. La valoración neurofisiológica de este estudio fue tan consistente que sirvió para predecir con bastante acierto si los participantes habían votado a John Kerry o a George Bush en la elección norteamericana de 2014. Repare el lector, porque es importante, en que los autores de este trabajo al hablar de sensibilidad neurocognitiva no se refieren a un tipo de sensibilidad moralmente enjuiciable, sino a un modo fisiológico de funcionamiento del cerebro.
Posteriormente, en 2011, un estudio de investigadores del University College de Londres, también con neuroimágenes de resonancia magnética, mostró que los liberales tenían un mayor volumen de sustancia gris, es decir, de neuronas, en dicha región cerebral, la circunvolución cingulada anterior, mientras que los conservadores superaban a los liberales en el volumen de esa misma sustancia en la amígdala, una estructura del cerebro emocional. No obstante, falta determinar si esas diferencias cerebrales son o no las causantes de las orientaciones políticas de las personas.
Neuroimagen sagital del cerebro humano mostrando en color amarillo la circunvolución cingulada anterior, un área que ha sido relacionada con la orientación ideológica de las personas. GEOFF B HALL
Otros trabajos han mostrado que las reacciones fisiológicas que muestran las personas ante imágenes amenazantes o sonidos repentinos de alta intensidad pueden relacionarse también con sus posiciones ideológicas. Concretamente, las personas que reaccionan con mayor sensibilidad ante ese tipo de estímulos, medida su sensibilidad por los cambios en la conductancia eléctrica de su piel o por la fuerza de su parpadeo, suelen ser también personas más favorables a legalizar la posesión de armas o la pena de muerte que aquellas otras personas que presentan menos sensibilidad de ese tipo.
La influencia de las hormonas sobre la ideología y las actitudes políticas también ha merecido estudios. En ellos no podía faltar la popularísima oxitocina, hormona segregada en el hipotálamo cerebral y considerada promotora de la empatía y de los lazos afectivos entre las personas. Curiosamente, o consecuentemente, según se mire, un estudio mostró que las inhalaciones nasales de esa hormona hicieron que un grupo de ciudadanos holandeses respondieran más favorablemente a sus compatriotas holandeses que a ciudadanos extranjeros. Otro trabajo ha mostrado también que la inhalación de oxitocina es capaz de promover la tendencia a defender a los tuyos, el llamado altruismo parroquial, manifestado por el aumento de la confianza y la cooperación con los de tu grupo sin que aumente al mismo tiempo la desconfianza o el odio hacia las personas de otros grupos.
En situaciones de conflicto, las personas políticamente liberales presentan más actividad que las políticamente conservadoras en la circunvolución cingulada anterior
Hay también una observación curiosa que indica que las personas con altos niveles de cortisol (la hormona del estrés) son menos proclives a ir a votar que las que tienen niveles más bajos en sangre de esa hormona. Según estos datos, el estrés podría ser un factor que disminuye la participación de los ciudadanos en las elecciones. Ni que decir tiene que determinados acontecimientos sociales, especialmente los de carácter traumático, pueden producir movilizaciones importantes, aunque no siempre permanentes, en la orientación ideológica de las personas. Así ocurrió en quienes vivieron de cerca el ataque terrorista del 11 de septiembre de 2001 en Nueva York, o también, como comprobamos en la primera vuelta de sus recientes elecciones, en muchos franceses, tras los recientes asesinatos de París, pues ambos colectivos se han desviado hacia posiciones conservadoras.
Todos los estudios mencionados requieren réplicas y confirmación, pues son todavía escasos y parciales, pero si aceptamos que factores como la actividad cerebral, las hormonas, los neurotransmisores u otras sustancias biológicas pueden condicionar nuestra orientación ideológica, debemos preguntarnos quién determina a su vez las diferencias individuales en esos factores, y eso nos lleva directamente a los genes, es decir, a la herencia biológica recibida de nuestros progenitores, como posible condicionante ideológico. El interés por este factor se remonta a 1986, cuando el equipo del genetista australiano Nicholas Martín publicó un trabajo sugiriendo que los genes podrían influenciar las actitudes de las personas en cuestiones como el aborto, la inmigración, la pena de muerte o el pacifismo. Ese estudio puso de manifiesto que los gemelos idénticos, los que comparten el 100% de sus genes, tenían opiniones políticas similares con más frecuencia que los gemelos fraternales que solo comparten el 50% de ellos. Como los gemelos suelen crecer en el mismo ambiente familiar, los genes podrían ser entonces quienes marcan la diferencia entre ambos tipos de gemelos.
Entre los posibles factores está la reactividad emocional, es decir, a la fuerza y el enfado de naturaleza congénita con que las personas respondemos a la contrariedad o la frustración ya desde muy niños
Aunque estos resultados han recibido confirmación en diferentes trabajos realizados más recientemente en los Estados Unidos por investigadores del campo como John Hibbing, John Alford o Peter Hatemi, incluso con verificaciones en hermanos gemelos de diferentes países, los resultados han sido muy criticados, especialmente por las dificultades para poder controlar en los estudios los factores que, además de los genes, pueden determinar las posiciones ideológicas de las personas. Se ha dicho, por ejemplo, que los padres suelen tratar más del mismo modo a los gemelos idénticos que a los no idénticos, o que los primeros suelen tener más amigos comunes y por eso acaban teniendo la misma ideología. Esas posibilidades, entre otras, restan valor a la conclusión que nos lleva a los genes como determinantes ideológicos. No obstante, ni que decir tiene que una interesante oportunidad en este campo es la que nos puede brindar la moderna ciencia epigenética, cuyo cometido al efecto será determinar cómo los factores ambientales incluidos en la educación pueden hacer que se expresen o no los genes capaces de afectar a la orientación ideológica de las personas.
En definitiva, aun aceptando la prioridad de la educación, los datos disponibles nos hacen creer que hay factores biológicos que predisponen en alguna medida las orientaciones ideológicas de las personas. De entre esos posibles factores quien escribe se apunta a la reactividad emocional, es decir, a la fuerza y el enfado de naturaleza congénita con que las personas respondemos a la contrariedad o la frustración ya desde muy niños. Esa reactividad es como un cañón cuyo calibre heredamos, pero es la educación que recibimos quien determina, según la misma metáfora, hacia dónde apunta y cuándo dispara ese cañón que traemos con nosotros al nacer.
Ignacio Morgado Bernal es Catedrático de Psicobiología en el Instituto de Neurociencia y la Facultad de Psicología de la Universidad Autónoma de Barcelona. Autor de Emociones e inteligencia social: las claves para una alianza entre los sentimientos y la razón (Barcelona, Ariel, 2007 y 2011).
(1). A quienes deseen conocer con precisión el significado del término liberal les recomiendo encarecidamente la lectura de la obra Tres ensayos liberales, del abogado y periodista vasco José María Ruiz Soroa, colaborador de este diario.
En el siglo XX dos ideologías prendieron en la mente de millones de personas, causando asimismo millones de muertos: me refiero al nacionalsocialismo y al comunismo. Se ha considerado que ha sido el siglo peor de toda nuestra historia. El historiador británico Eric Hobsbawn calcula en 187 millones el número de muertos violentamente en ese siglo.
Mi prolongada estancia en Alemania me ha llevado a intentar comprender cómo fue posible que intelectuales de gran categoría, como el filósofo Martin Heidegger, que fue miembro del partido nazi, o cómo destacados intelectuales occidentales defendieron el comunismo. Este es el motivo que me lleva a hablar hoy de este tema que, en mi opinión, todavía está sin una explicación satisfactoria.
Quisiera, antes de entrar en materia, delimitar un poco qué entiendo por ideología, recurriendo a las muchas definiciones que se han hecho por sociólogos, historiadores, psicólogos, e incluso psiquiatras.
El término “ideología” fue utilizado por vez primera en Francia por Pierre Cabanis y Antoine Louis Destutt de Tracyen el siglo XIX. Karl Marx y Friedrich Engels vuelven a utilizar este término cincuenta años más tarde en su obra La ideología alemana, publicada a mitad del siglo XIX. Ya en el siglo XX, el filósofo francés Louis Althusser se dedica a estudiar este tema, publicando su obra más conocida en este campo y titulada: Ideología y aparatos ideológicos de Estado.
Para Marx la ideología es una “falsa consciencia de la realidad”, pero también una serie de valores, concepciones del mundo y sistemas simbólicos de los que las instituciones dominantes de una sociedad se valen para legitimar su actual dominio. Estas ideas orientan el pensamiento de la gente para que acepten las cosas como son y los papeles que juegan en la sociedad.
Althusser considera también que las ideologías cumplen la función de ser “concepciones del mundo” (lo que en alemán se llama ‘Weltanschauung’ y en español ‘cosmovisión’). Althusser escribía que para ese objetivo de dominación la ideología se valía de lo que llamó aparatos ideológicos del estado, como las iglesias, las escuelas, la familia y las formas culturales, como la literatura, la música rock, los anuncios y las comedias de situación.
Algunos sociólogos anglosajones utilizan hoy el término ‘ideología’ para referirse a sistemas organizados de creencias irracionales, aceptadas por autoridad, que cumplen una función coercitiva y dominante sobre los individuos. Por eso se ha definido la ideología como un complejo de ideas que intentan mantener el orden establecido. En este sentido, todo sistema político poseería una ideología, ya que pretende cuando está en el poder mantener el orden establecido. De ahí la tendencia conservadora de las ideologías que suponen que cualquier cambio que un sistema abierto admitiría pondría en peligro el mantenimiento del sistema.
En Italia es el político y filósofo Antonio Gramsci quien trata la ideología también de forma diferente a la de Marx. Para Gramsci la ideología es “el terreno de lucha incesante entre dos principios hegemónicos”. Y otro filósofo italiano, Ferrucio Rossi-Landi, escribe que hay dos usos del término ideología: un uso peyorativo de la ideología como “pensamiento falso” (deforme, engañoso) y un uso descriptivo de la ideología como “visión del mundo” y como “justificación o promoción de un sistema político”.
El filósofo alemán Christian Duncker sostiene que la ideología es un sistema que explícita o implícitamente reclama ser la verdad absoluta. Por eso existen muchos tipos de ideologías: políticas, religiosas, sociales, epistemológicas, éticas, etc.
Las ideologías han tenido siempre una fuerza de atracción excepcional sobre el ser humano y no es fácil determinar sus causas. Sin duda uno de los motivos es la necesidad, quizá innata, del ser humano de buscar algo estable, inmutable; en este sentido se explican también en parte las religiones, que ofrecen una explicación y una solución para todos los problemas, aparte de verdades tenidas como eternas e inmutables. En este sentido, algunos autores consideran a la religión como una ideología.
Los sistemas de pensamiento cerrado, como son las ideologías, suelen ofrecer también promesas salvíficas de felicidad para el futuro, lo que, sin duda, es muy atractivo para el hombre. En el marxismo, por ejemplo, la propia religión es una ideología por considerarla una falsa consciencia de la realidad. Quizá el concepto que podría abarcar tanto a la ideología como a las religiones es el concepto de creencia. Las ideologías, al igual que las religiones, exigen a sus adeptos que crean firmemente en ellas sin dejar ningún resquicio para la duda. Precisamente otra característica común es que ambas liberan al ser humano de dudas, de conflictos internos y de los esfuerzos que representan la reflexión, el pensamiento profundo y la misma duda.
Quisiera aclarar que por mi parte no estoy interesado en ningún discurso político o social, sino que mi interés se centra en el mecanismo mental que puede ser origen del pensamiento ideológico. Por eso no entro a considerar la ideología como sistema que puede consolidar un poder político determinado. Entiendo, más bien, que si lográsemos aclarar esos mecanismos mentales habremos dado un paso importante para explicar el origen de las ideologías y, con ello, avanzar en los intentos de evitar que vuelvan a reproducirse con sus nefastos efectos. Si consideramos los nacionalismos como ideologías, y tenemos en cuenta que muchos movimientos terroristas poseen también una ideología, entonces el interés por comprender cómo esta forma de pensar prende en las mentes de los individuos se convierte casi en una necesidad.
Recojamos, pues, para continuar con este análisis, algunos de los elementos en las definiciones que hemos visto se han hecho de las ideologías. Quisiera resaltar algunos puntos que considero imprescindibles. El primero, de la definición de Antonio Gramsci de que la ideología es “el terreno de lucha incesante entre dos principios hegemónicos”. Desde luego, esto es aplicable al nacionalsocialismo, con su división tajante entre arios y judíos y otras razas ‘inferiores’; así como lo es para el comunismo con su antagonismo radical entre burgueses y proletarios. En ambos casos, la característica común es un dualismo exacerbado, un planteamiento en antítesis o antinomias que llama la atención y que, desde luego, simplifica y falsifica la realidad. En ese sentido también puede hablarse de “falsa consciencia de la realidad”.
El segundo punto que quiero resaltar es la coincidencia en los criterios de Louis Althusser y Ferruccio Rossi-Landi de que las ideologías son ‘Weltanschauungen’, o sea, cosmovisiones, que se caracterizan fundamentalmente por tener un componente fuertemente dualista y, sobre todo, por ser visiones cerradas del mundo, es decir, sistemas de pensamiento que tienen explicación para todo. Precisamente por ser visiones cerradas del mundo son necesariamente falsas.
También hay autores que consideran a la ciencia como una ideología, denominándola ‘cientismo’. Ahora bien, según los puntos que hemos tratado, la ciencia está alejada de sostener una visión cerrada del mundo, antes bien sostiene lo contrario. Y, desde luego, nunca ha reclamado poseer ninguna verdad absoluta. Cierto es que en el ámbito científico ha habido postulados que pueden ser considerados como ideologías, como por ejemplo el darwinismo social, aunque este no puede ser considerado parte de la ciencia.
Y también es cierto que la ciencia no se libra del pensamiento dualista que puede observarse en numerosas ocasiones a lo largo de su historia. Pensemos, por ejemplo, en las antinomias energía y materia, tiempo y espacio, partícula y onda, big bang y big crunch, etc., en física. O en biología las antítesis genética o medio ambiente, o evolución continua o discreta. O en política la división entre derechas e izquierdas, progresistas y conservadores. Podríamos prolongar esta lista en todas las demás disciplinas, sean mitología, religión o filosofía, para concluir que el pensamiento dualista es ubicuo y que nos hace sospechar, como ya he expresado en otra ocasión, que podría ser una categoría más de nuestra mente, una especie de anteojos con los que observamos el mundo que nos rodea.
Que nuestro lenguaje está lleno de términos antitéticos es un hecho. El filólogo alemán Karl Abel publicó en 1885 en Leipzig un libro titulado “Sprachwissenschaftliche Abhandlungen” (Tratados de lingüística), obra que fue citada por Sigmund Freud en su ensayo “El doble sentido antitético de las palabras primitivas”. El capítulo octavo de esa obra de Karl Abel lo tituló: “Sobre el sentido opuesto de las palabras originarias”. En él habla del periodo en el que el ser humano empezó a formar sus conceptos, de los tiempos primitivos en los que se formó el lenguaje. Y las pruebas más antiguas del habla humana las encuentra en los jeroglíficos egipcios que se remontan hasta los 4.000 años a.C. En este lenguaje egipcio encuentra un sinnúmero de palabras con dos significados antitéticos, como ‘oír’ y ‘estar sordo’, ‘separar’ y ‘unir’, ‘fuerte’ y ‘débil’, ‘mandar’ y ‘obedecer’, etc. siendo expresados estos conceptos contradictorios por un mismo sonido. Para Abel, este hecho explica el devenir del concepto y el lenguaje en los tiempos primitivos. En el lenguaje posterior se emplearon dos sonidos distintos para los conceptos opuestos. Mientras más progresa un idioma más desaparece también el sentido antitético de los sonidos. Y respecto a este hecho, nos dice que el nombre ‘luz’, por ejemplo, no tiene sentido sin su opuesto ‘oscuridad’ y viceversa.
Al final de su libro, Abel enumera toda una serie de palabras antitéticas, no sólo en el idioma egipcio antiguo, sino en el idioma indogermánico, origen de la mayoría de los lenguajes que utilizamos hoy en Europa y también en el idioma árabe. Así, por ejemplo, en latín ‘altus’ tiene el significado de alto y bajo; en sánscrito ‘arat’ significa lejos y cerca; en alemán ‘Boden’ significa la parte más baja y la más alta de la casa; en latín ‘sacer’ significa sagrado y maldito; en griego ‘daimon’ se utiliza para ángeles y demonios; en inglés la palabra ‘without’ se podría traducir literalmente como ‘con-sin’, etc.
Ahora bien, ¿no es posible que este hecho nos esté indicando el nacimiento del pensamiento dualista cuando dividimos esas expresiones en dos con significado contrario? Según el criterio de Abel, la antítesis supone una de las primeras operaciones mentales del ser humano.
Sobre el origen del lenguaje existen muchas teorías. Pero una de las más plausibles nos dice que procede de la comunicación por gestos. Se ha comprobado, asimismo, que el lenguaje americano por signos utiliza las mismas regiones cerebrales que el lenguaje hablado, lo que habla a favor de esa hipótesis.
La expresión por signos estaba ligada presumiblemente al sistema emocional del cerebro, al sistema límbico. Y sabemos que en el funcionamiento del sistema límbico no existen las antinomias, es más, en los ensueños, por ejemplo, en los que el inconsciente está activo, los términos antitéticos no crean ningún problema y pueden darse conjuntamente. Es, pues, de suponer que el pensamiento humano dualista, lógico-analítico, está ligado al funcionamiento de determinadas regiones de la corteza cerebral y que su surgimiento es relativamente tardío en el desarrollo de la mente de los homínidos.
¿Cuál sería la ventaja evolutiva de un pensamiento de estas características? En primer lugar, sabemos que el cerebro no está interesado en términos absolutos, sino relativos. En la visión, la cantidad de luz no es interesante, sino los contrastes. Y en todo el sistema nervioso lo que se registra son comparaciones, basadas en un mecanismo que llamamos inhibición lateral que es el que crea esos contrastes, mecanismo presente no sólo en todos los órganos de los sentidos, incluida la piel, sino también en todo el Sistema Nervioso Central. No sería, pues, extraño que el pensamiento estuviese basado también en el mismo principio de contraste que se refleja en el pensamiento dualista. ¿Qué mayor contraste para un concepto que su antítesis?
En segundo lugar, la lógica está basada también en términos contrapuestos. Por tanto, es de suponer que las estructuras que sostienen nuestra capacidad lógico-analítica, con la que analizamos el mundo, son las mismas que albergan ese ‘operador binario’ que el ya fallecido psiquiatra de Pensilvania Eugene D’Aquili sostuvo que es un operador importante para las experiencias religiosas, estéticas y, especialmente, para la formación de mitos.
Este área cerebral no sería otra que la que el padre de la neurología conductual en Estados Unidos, Norman Geschwind, denominó la región inferior del lóbulo parietal del hemisferio dominante. Una región que está situada en el giro supramarginaly que está considerada, junto con el giro angular, como el área de asociación de las áreas asociativas. Su lesión impide la formación de antónimos, así como el uso de grados comparativos de adjetivos, como ‘más alto’ y ‘más bajo’, ‘mejor que’ y ‘peor que’, etc.
Tendríamos, pues, una región cerebral responsable de la visión dualista del mundo y que nos serviría para analizar ese mundo por contraste, formando antónimos. Así pues, las ideologías tendrían un componente dualista muy fuerte, que resultaría de una exageración de esa forma de pensamiento.
Hace muchos siglos que la filosofía hindú, especialmente el Vedanta Advaita hizo hincapié en la no-dualidad (que es lo que significa en sánscrito advaita), entendiendo que la visión del mundo que nos ofrece el sentido común es una ficción creada por los conceptos que la mente superpone a las percepciones. Pero también en Occidente, el profesor de filosofía de la Universidad de California, John Searle, dice que aquello que se nos aparece como realidad es el resultado de las categorías, fundamentalmente lingüísticas que imponemos sobre el mundo. Es un error, dice, creer que el lenguaje sólo se limita a asignar etiquetas que nos permiten identificar los objetos, somos nosotros los que dividimos el mundo y el lenguaje es nuestra principal herramienta para ello. Precisamente, el giro supramarginal que antes mencioné está implicado en funciones lingüísticas.
En otro lugar he referido que en las experiencias que llamamos místicas esa función cognoscitiva no está presente y las antinomias, como división entre el yo y el mundo, desaparecen, fusionándose el individuo con Dios, el Vacío, la Nada o la Naturaleza. Con otras palabras: la visión dualista no es la única de la que el cerebro es capaz. También lo es la visión no-dualista que ya era conocida hace muchos siglos por la filosofía hindú.
El sociólogo y filósofo húngaro, afincado en Francia Joseph Gabel escribió en 1962 un libro titulado: La fausse conscience (La falsa consciencia), en el que relaciona la ideología con la falsa consciencia. En la falsa consciencia y en la ideología la situación histórica de las relaciones humanas se vive de forma a- histórica, natural, espacialmente dada; se trataría de una disociación esquizofrénica de la vivencia espacio-tiempo, de la cosificación del proceso temporal. Esta disociación siempre es desvalorizante, porque la ambivalencia del devenir histórico se divide de forma maniquea y “el mal” se convierte en “otra cosa distinta”, se proyecta hacia fuera.
El psiquiatra suizo Eugen Bleuler definió la ambivalencia esquizofrénica como la incapacidad de integrar existencialmente la ambivalencia que existe realmente en cada contenido de valor concreto.
Para Gabel, la ideología sería una buena ilustración de desvalorización por cosificación o reificación y, por tanto, una verdadera esquizofrenia en el sentido del psiquiatra francés Eugène Minkowski, o sea, un racionalismo patológico, una congelación del mundo conceptual. La ideología mostraría la misma estructura que la esquizofrenia, es decir, la cosificación como denominador común.
En la ideología, como en la esquizofrenia, la historia no se vive sino que se sueña. No se desarrolla temporalmente, sino que se da de manera mágica y espacial. Es una forma de pensar encapsulada en sí misma, dogmática, extraña a la realidad, inaccesible a cualquier experiencia. El aparato conceptual de las ideologías se formaría de forma egocéntrica, y el egocentrismo espacializa el tiempo, se convierte en un sistema supratemporal, algo que ocurre también en el egocentrismo del niño. Por ello, la ideología podría ser un egocentrismo colectivo, un sociocentrismo o un etnocentrismo. Gabel dice que cualquier colectivo es egocéntrico y tiene la tendencia a espacializar la duración del tiempo, a cosificarlo. El tiempo histórico se paraliza, se detiene.
El pensamiento blanco-negro es característico de las formas colectivas e individuales del egocentrismo. La tendencia a la división entre buenos y malos se ha mostrado innumerables veces en las ideologías y en la esquizofrenia. Es lo que la psicoanalista austriaca Melanie Klein llamó la “posición paranoide temprana”. En un sistema teocrático, por ejemplo, la humanidad se divide entre “ortodoxos” y “heterodoxos”, “justos” y “pecadores”, “creyentes” e “infieles”. El psiquiatra italiano Silvano Arieti describió el pensamiento superconcreto del esquizofrénico como un pensamiento que utiliza una lógica arcaica, una “paleológica”. Esta sería también la lógica de la ideología. Nietzsche decía que todos los ideales son peligrosos porque rebajan y estigmatizan lo real.
Si esto es cierto, entonces la ideología supondría una vuelta a un pensamiento más primitivo, más simple, con un componente fuertemente emocional, tal y como lo es en la esquizofrenia. La unión del pensamiento fuertemente maniqueo con ese componente emocional conduciría a la demonización del contrario, a explicar toda la historia simplificándola; en el caso, por ejemplo, de la ideología nazi, como una lucha entre razas, y en el caso del comunismo como una lucha entre clases. De la demonización del adversario a la tendencia violenta a su liquidación no hay más que un solo paso.
Así que un instrumento cognoscitivo que nos permite analizar el mundo, como es el pensamiento dualista, sin duda desarrollado en la evolución por alguna ventaja adaptativa, tiene también su parte negativa expresada paradigmáticamente en las ideologías con consecuencias desastrosas para la humanidad. El conocimiento de sus ventajas e inconvenientes deberá ponernos en guardia para evitar en el futuro esas consecuencias negativas.
Un ejemplo del pensamiento dualista de la ideología nazi es la siguiente frase del libro Mein Kampf (Mi lucha) de Adolf Hitler: “La gran mayoría del pueblo es, por naturaleza y criterio, de índole tan femenina, que su modo de pensar y obrar se subordina más a la sensibilidad anímica que a la reflexión. Esa sensibilidad no es complicada, por el contrario, es muy simple y rotunda. Para ella no existen muchas diferenciaciones, sino un extremo positivo y otro negativo: amor u odio, justicia o injusticia, verdad o mentira, pero jamás estados intermedios”. En esta cita vemos que el propio Hitler piensa que la realidad es dual, proyectando su propio pensamiento dualista a la sociedad.
Una expresión típica de las ideologías es la comparación del adversario con una ‘manzana podrida’ que contamina a las sanas, o con un ‘cáncer’ que, como dice Hitler, ‘corroe las entrañas de la sana raza aria’. La aversión de Hitler por la enfermedad llega a tal punto que tanto enfermos crónicos como personas defectuosas genéticamente debían ser erradicados del resto de la sociedad. Se muestra así el dualismo exacerbado del que antes hablábamos que divide a la sociedad en sanos, que son ellos, en la mente de los ideólogos, los puros, los ortodoxos, y por otra parte los enfermos, lisiados, minusválidos, impuros, heterodoxos, herejes, etc., de los que conviene librarse, enviarlos a campos de exterminio, quemarlos, gasearlos, como así fue en el periodo de la dictadura nacionalsocialista. El pluralismo de la sociedad alemana era para Hitler el caos que debía ceder ante un orden draconiano. Comunismo, bolchevismo, pacifismo, liberalismo, democracia, todo era desvalorizado y despreciado y todo cargado a cuenta de los judíos, como bestia negra del nacionalsocialismo.
A los alemanes arios se les atribuía la capacidad de dominio sobre los demás pueblos, pero se reprimía cualquier tendencia a la autodeterminación. Debían entregarse en cuerpo y alma al Führer y confiar ciegamente en su dirección.
La politóloga alemana Hannah Arendt en su libro Los orígenes del totalitarismo dice que hay tres elementos específicamente totalitarios que son peculiares a todo pensamiento ideológico. El primero es la promesa de explicar todo el acontecer histórico, la explicación total del pasado, el conocimiento total del presente y la fiable predicción del futuro. Es lo que yo llamaba antes una cosmovisión acabada de la realidad. En segundo lugar, un pensamiento que se emancipa de la realidad que percibimos y que insiste en una realidad “más verdadera”. En tercer lugar, el pensamiento ideológico comienza en una premisa axiomáticamente aceptada, deduciendo todo a partir de ahí.
El holodomor de Ucrania: Stalin los condenó a morir de hambre
Como he dicho al principio, una de las ideologías más nefastas del siglo XX ha sido la del comunismo, especialmente en su vertiente estalinista. El comunista yugoslavo Milovan Djilas, describió a Stalin como ‘el mayor criminal de la historia’, en el que se combinaba ‘la criminalidad sin sentido de un Calígula con el refinamiento de un Borgia y la brutalidad del zar Iván el Terrible’. Sigue siendo un misterio, como dice el escritor británico Alan Wood, cómo fue posible que Stalin estuviese tanto tiempo en el poder, desde 1928 hasta 1953, aterrorizando a la población, recurriendo al asesinato en masa y al terror, y esclavizando a las naciones de la Europa del Este, siendo al mismo tiempo admirado, reverenciado e incluso amado por muchos y encontrándonos hoy aún con los que mantienen su afecto a su figura y nostalgia por esa época. La aniquilación de la clase de los kulaks, agricultores y campesinos con tierras que contrataban a trabajadores del campo, su envío por millones en vagones de ferrocarril que se utilizaban para el ganado a las inmensidades heladas de Siberia a trabajar en campos de concentración se anticipó al transporte nazi de judíos en el nacionalsocialismo. “Los kulaks no son seres humanos”, diría Stalin, anticipándose a lo que decían los nazis de los judíos o los gitanos. Otra conocida frase de Stalin es “un muerto es una tragedia; un millón una estadística”. La manifestación pública del así llamado ‘holocausto soviético’ fueron las purgas entre los años 1936 a 1938 contra miembros del Politburo del propio partido, quienes bajo tortura y amenazas a sus familias confesaron crímenes políticos jamás cometidos.
La red de campos de concentración inmortalizada por Alexander Solzhenitsyn en su obra El Archipiélago GULAG, es un equivalente de la red de cientos de campos de concentración nazi. En esa obra de Solzhenitsyn, el autor, dice lo siguiente: “¡La ideología! He aquí lo que proporciona al malvado la justificación anhelada y la firmeza prolongada que necesita. La ideología es la teoría social que le permite blanquear sus actos ante sí mismo y ante los demás y oír, en lugar de reproches y maldiciones, loas y honores. Así, los inquisidores se apoyaron en el cristianismo; los conquistadores en la mayor gloria de la patria, los colonizadores en la civilización; los nazis en la raza; los jacobinos y los bolcheviques en la igualdad, la fraternidad y la felicidad de las generaciones futuras”.
Solzhenitsyn, en el segundo tomo de su obra calcula el número de muertos por el sistema soviético en unos 88 millones; si restamos los aproximadamente 44 millones de rusos que costó la Segunda Guerra Mundial obtenemos una cifra de 64 millones. El Profesor Rudolf Joseph Rummel, de la Universidad de Hawai estima que el régimen soviético mató unos 62 millones entre 1917 y 1987. Y el médico Dimitri Panine, que estuvo cuatro años en prisión con Solzhenitsyn también calcula el número de muertos por el régimen soviético en unos 60 millones.
Si se hace un cálculo demográfico resultaría lo siguiente. En 1917, la URSS contaba con 143,5 millones de habitantes. Las anexiones de 1940 sumaron 20,1 millones, o sea hacían un total de 163,6 millones. De 1917 a 1940, y luego de 1940 a 1959 el incremento natural hubiera debido de llevar el volumen de la población a 319 millones. Pero en 1959 en la URSS sólo había 208,8 millones, lo que significa un déficit de 110,2 millones. Si se deduce de esta cifra el número de víctimas de la guerra, calculado en unos 44 millones, el resto, o sea 66,2 millones de hombre, mujeres y niños representaría el coste humano del sistema soviético. Como vemos, aproximadamente unos sesenta y tantos millones sería la cifra de víctimas.
El historiador e hispanista francés Pierre Chaunu decía refiriéndose al sistema soviético: “Desde el comienzo del mundo, ningún régimen, ninguna dinastía, ningún monarca había conseguido nada parecido. Ni siquiera el nazismo que, hacia el final, se quedó corto de tiempo”. Como dice el académico francés Alain de Benoist. “El comunismo ha matado más que el nazismo, ha matado durante más tiempo que él y ha comenzado a matar antes que él”.
Esto llevó al historiador francés Stéphane Curtois, que dirigió con un grupo de historiadores el Libro negro del comunismo, a decir lo siguiente: “Este mero hecho incita a una reflexión comparativa sobre la similitud entre el régimen que a partir de 1945 fue considerado como el más criminal del siglo (refiriéndose al régimen nazi) y un régimen comunista que hasta 1991 ha conservado toda su legitimidad internacional y que, hasta hoy, está en el poder en varios países y mantiene adeptos en el mundo entero”.
La relación entre ambos sistemas, el nazi y el soviético, ha sido señalada por muchos autores. El historiador judío alemán Sigmund Neumann, que emigró en los años 30 primero a Londres y luego a Estados Unidos, sostenía la tesis de que el nazismo podía definirse como un anticomunismo que tomaba de sus adversarios las formas y los métodos, empezando por los métodos del terror.
Otro motivo que justifica la comparación entre ambos sistemas, escribe Alain Benoist, es la estrecha imbricación dialéctica de sus respectivas historias. Del mismo modo que el sistema soviético ha despertado una poderosa movilización en nombre del ‘antifascismo’, el sistema nazi no cesó de movilizar en nombre del anticomunismo. El sistema nazi veía en las democracias liberales regímenes débiles, susceptibles de desembocar en el comunismo, mientras que el sistema soviético en el mismo momento las denunciaba como susceptibles de limpiar el camino al ‘fascismo’.
El escritor y periodista británico George Orwell, conocido por sus obras, como 1984, Rebelión en la granja, y Homenaje a Cataluña, ya que estuvo en España durante la Guerra Civil, subrayaba que muchas personas se hicieron nazis por un motivado horror al comunismo, mientras que otros se hicieron comunistas por un motivado horror al nazismo.
Desde el punto de vista ideológico, ambos sistemas son muy parecidos. Uno propugnaba el genocidio de raza y el otro el genocidio de clase, y todos aquellos que se oponían a estos designios tenían que ser eliminados.
El escritor ruso Máximo Gorki, defensor del movimiento revolucionario soviético, escribía que el odio de clase debía ser cultivado como una repulsión orgánica respecto al enemigo en cuanto ser inferior. Mi convicción íntima, decía, es que el enemigo es realmente un ser inferior, un degenerado en el plano físico, pero también en el moral.
Otra consecuencia nefasta de la ideología comunista fue la que se implantó en China. No sé si es conocido que el llamado por Mao Zedong ‘El gran salto adelante’ costó entre 20 y 43 millones de muertos por hambre. Y la invasión militar del Tibet en los años 50 se cobró entre seis y diez millones de víctimas. En Camboya, el terror de los jémeres rojos con su ideología comunista también hizo que millones de camboyanos fueran aniquilados.
Llamar a Hitler, Stalin, Mao Zedong o a Pol Pot paranoicos, psicópatas, con complejos de inferioridad y tendencias homicidas no explica prácticamente nada de por qué gran parte de la población siguió durante mucho tiempo a estos personajes participando de la ideología que propagaban.
Tanto el nacionalsocialismo como el estalinismo se caracterizaron por un nacionalismo exacerbado, que, a fin de cuentas, es una forma de pensamiento dualista que distingue tajantemente entre nosotros y los demás. Ahora que el nacionalismo de vía estrecha hace furor en algunas partes de Europa, deberíamos tener en cuenta estas consideraciones si no queremos volver a repetir los errores del pasado.
Si realmente las ideologías están basadas en una visión dualista del mundo y existe el peligro de que esta visión, por ser más simple, puede ser fácilmente adoptada por la inmensa mayoría de la población; y si le añadimos que una vez asentada esta visión está fuertemente cargada emocionalmente, corremos el peligro de volver a vivir cualquier otra ideología con sus nefastas consecuencias. Por esta razón, cuando en los años 50 y 60 se proclamó el fin de las ideologías puede que los que lo hicieron no estuviesen muy acertados. El crítico literario británico Terry Eagleton, en la introducción de su libro Ideology, escrito en 1995, ya dice que en la última década hemos conocido un notable resurgimiento de movimientos ideológicos en todo el mundo, refiriéndose sobre todo al fundamentalismo islámico, sin olvidar el fanatismo estalinista de un Pol Pot en Camboya, el sistema teocrático en Irán o la limpieza étnica en la antigua Yugoslavia. Por esta razón, aquellos que fomentan un pensamiento dualista extremo en las ideologías son, a mi juicio, unos irresponsables siendo extremadamente indulgentes.
No deberíamos olvidar la frase del filósofo español Jorge de Santayana: “Quien olvida su historia está condenado a repetirla”.
El presente Sitio Web utiliza cookies propias y de terceros para mejorar tu experiencia en nuestra web así como para analizar el tráfico web de la misma. Además, compartimos información sobre el uso que el usuario haga del sitio web con nuestros partners de medios sociales y publicidad. Para continuar navegando es necesario aceptar expresamente la Política de Cookies que puedes consultar haciendo clic aquí.
This website uses cookies to improve your experience while you navigate through the website. Out of these cookies, the cookies that are categorized as necessary are stored on your browser as they are essential for the working of basic functionalities of the website. We also use third-party cookies that help us analyze and understand how you use this website. These cookies will be stored in your browser only with your consent. You also have the option to opt-out of these cookies. But opting out of some of these cookies may have an effect on your browsing experience.
Necessary cookies are absolutely essential for the website to function properly. This category only includes cookies that ensures basic functionalities and security features of the website. These cookies do not store any personal information.
Any cookies that may not be particularly necessary for the website to function and is used specifically to collect user personal data via analytics, ads, other embedded contents are termed as non-necessary cookies. It is mandatory to procure user consent prior to running these cookies on your website.
Advertisement cookies are used to provide visitors with relevant ads and marketing campaigns. These cookies track visitors across websites and collect information to provide customized ads.
Cookie
Duración
Descripción
dpm
5 months 27 days
The cookie is set by demdex.net. This cookie assigns a unique ID to each visiting user that allows third-party advertisers target that users with relevant ads.
everest_g_v2
1 year
The cookie is set under eversttech.net domain. The purpose of the cookie is to map clicks to other events on the client's website.
everest_session_v2
This cookie is used to display personalized and relevant ads to the users and measure the efficiency of the ad campaign.
IDE
1 year 24 days
Used by Google DoubleClick and stores information about how the user uses the website and any other advertisement before visiting the website. This is used to present users with ads that are relevant to them according to the user profile.
OAID
1 year
This cookie is set when an AdsWizz website visitor have opted out the collection of information by AdsWizz service or opted to disable the targeted ads by AdsWizz.
personalization_id
2 years
This cookie is set by twitter.com. It is used integrate the sharing features of this social media. It also stores information about how the user uses the website for tracking and targeting.
uid
2 years
This cookie is used to measure the number and behavior of the visitors to the website anonymously. The data includes the number of visits, average duration of the visit on the website, pages visited, etc. for the purpose of better understanding user preferences for targeted advertisments.
VISITOR_INFO1_LIVE
5 months 27 days
This cookie is set by Youtube. Used to track the information of the embedded YouTube videos on a website.
Analytical cookies are used to understand how visitors interact with the website. These cookies help provide information on metrics the number of visitors, bounce rate, traffic source, etc.
Cookie
Duración
Descripción
auid
10 years
This cookie register a unique ID which identifies the user browser from visiting the webistes. This cookie collects the statistical data of the visitor for serving targeted ads.
demdex
5 months 27 days
This cookie is set under the domain demdex.net and is used by Adobe Audience Manager to help identify a unique visitor across domains.
SPSI
This cookie is used for setting a unique ID for the session and it collects user behaviour on the website during the session. This collected information is used for statistical purposes.
s_ecid
2 years
This cookie is provided by Adobe Analytics.The purpose of this cookie is to allow persistent ID tracking in the 1st party state and is used as a reference ID if the AMCV cookie has expired.
vuid
2 years
This domain of this cookie is owned by Vimeo. This cookie is used by vimeo to collect tracking information. It sets a unique ID to embed videos to the website.
_ga
2 years
This cookie is installed by Google Analytics. The cookie is used to calculate visitor, session, campaign data and keep track of site usage for the site's analytics report. The cookies store information anonymously and assign a randomly generated number to identify unique visitors.
_gat_gtag_UA_40193202_3
1 minute
This cookie is set by Google and is used to distinguish users.
_gid
1 day
This cookie is installed by Google Analytics. The cookie is used to store information of how visitors use a website and helps in creating an analytics report of how the website is doing. The data collected including the number visitors, the source where they have come from, and the pages visted in an anonymous form.
Functional cookies help to perform certain functionalities like sharing the content of the website on social media platforms, collect feedbacks, and other third-party features.
Cookie
Duración
Descripción
bp_user-registered
13 years 8 months 8 days
This cookie is used to set which users can access the private pages of the website. It is a functional cookie.
bp_user-role
13 years 8 months 8 days
This is a functional cookie. It is used to set restriction to the user on acessing certain pages like back office, account page etc.
bp_ut_session
13 years 8 months 8 days
This is a functional cookie. This cookie is used to set restriction to the user on acessing certain pages like back office, account page etc.
lang
This cookie is used to store the language preferences of a user to serve up content in that stored language the next time user visit the website.
v1st
1 year 1 month
This cookie is set by the provider TripAdvisor. This cookie is used to show user reviews, awards and information recieved on the community of TripAdvisor. It helps to collect information about how visitors use the website.
Performance cookies are used to understand and analyze the key performance indexes of the website which helps in delivering a better user experience for the visitors.
Cookie
Duración
Descripción
dmvk
session
This cookie is set by the provider Dailymotion. This cookie is used for collecting statistical data of the visitor behaviour on the website. It is used for internal analytics.
sid
past
This cookie is very common and is used for session state management.
YSC
session
This cookies is set by Youtube and is used to track the views of embedded videos.
_gat
1 minute
This cookies is installed by Google Universal Analytics to throttle the request rate to limit the colllection of data on high traffic sites.
Deja tu opinión